대표전화
온라인상담
네이버톡톡
네이버예약
오시는길
×
개인정보 취급방침
개인정보 처리방침에 대한 내용을 입력하십시오.
×
이용약관
서비스 이용약관에 대한 내용을 입력하십시오.
치아를 살리는 치과
치아살리기란?
의료진소개
치아살리기 특별함
치아살리기 치료
치아살리기
잇몸살리기
잇몸재생교정
전악재건술
임플란트
임플란티아의 임플란트
고난이도 임플란트
전체 임플란트
임플란트 전후사진
치아교정
고난이도 치아교정
비발치교정
치아재교정
성장교정
일반진료
보철치료
보존치료
치주치료
틀니치료
사랑니발치
치아보험 도움받기
커뮤니티
치료 전후사진
치료후기
언론기사
임플란티아소식
온라인 상담
닫기
로그인
회원가입
치아를 살리는 치과
치아살리기란?
의료진소개
치아살리기 특별함
치아살리기 치료
치아살리기
잇몸살리기
잇몸재생교정
전악재건술
임플란트
임플란티아의 임플란트
고난이도 임플란트
전체 임플란트
임플란트 전후사진
치아교정
고난이도 치아교정
비발치교정
치아재교정
성장교정
일반진료
보철치료
보존치료
치주치료
틀니치료
사랑니발치
치아보험 도움받기
커뮤니티
치료 전후사진
치료후기
언론기사
임플란티아소식
온라인 상담
로그인
회원가입
치료 전후 사진
치료 전후 사진
치료 전후 사진
치아살리기
잇몸살리기
잇몸재생교정
전악재건술
비발치교정
잇몸이식술
잇몸치료
특수잇몸치료
잇몸이식술
잇몸치료
특수잇몸치료
잇몸이식술
잇몸치료
특수잇몸치료
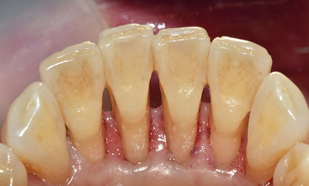
잇몸치료
홍OO님 전후사진 | 치료 기간 : 4주
치료 전
로그인 후 이용해주세요
전후사진은 회원 로그인 후 확인 가능합니다.
로그인하기
치료 후
잇몸치료
이OO님 전후사진 | 치료 기간 : 2주
치료 전
로그인 후 이용해주세요
전후사진은 회원 로그인 후 확인 가능합니다.
로그인하기
치료 후
+
케이스 더 보기